分享图

新辅助治疗后前入路右半肝切除术治疗右肝巨大肝癌

来源: 发布时间:2026-03-27 16:55:34 浏览次数: 【字体:

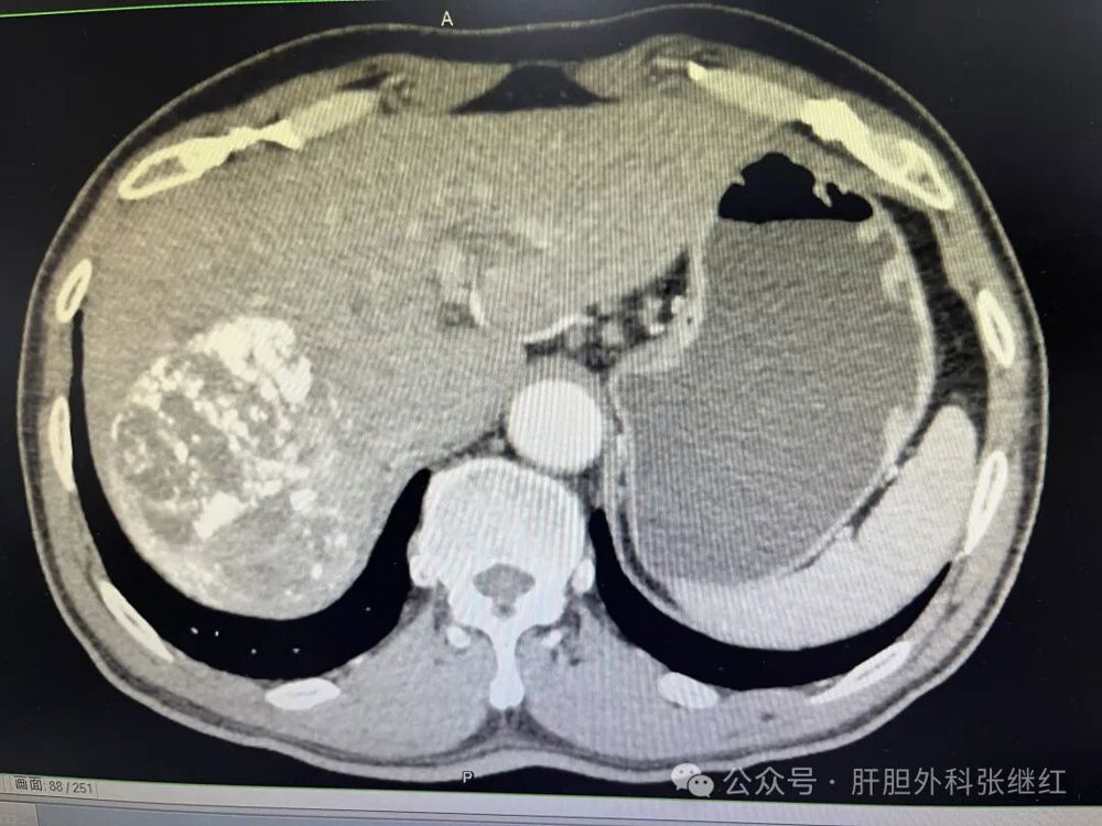
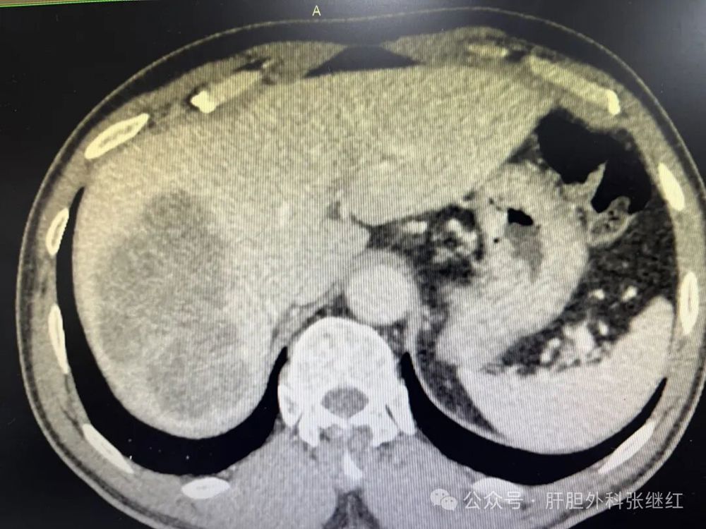
男性62岁病人,入院时肿瘤位于右肝,瘤体巨大长径约10.2厘米,且伴有门静脉右支癌栓形成,多学科会诊建议先行新辅助治疗后手术。征求病人及家属意见后采取双安方案行靶向免疫治疗3个疗程(约2个月),肿瘤略缩小,长径约8.2厘米,但未达到PR标准,停靶向免疫治疗四周,拟行腹腔镜右半肝切除术。由于病人经济状况不佳,坚决要求开腹手术,于是经术前评估和术前讨论行右半肝切除术。经右肋缘下切口进腹,探查肝脏呈轻度肝硬化,肿瘤占据右肝中心部位,未见肝内转移灶,肝脏周围少许炎性粘连,未发现肝外转移灶,为避免术中挤压肝组织引起肿瘤经血管转移和肿瘤破裂,决定行前入路右半肝切除术(又称原位右半肝切除术)。常规切除胆囊,鞘外分离右肝蒂,结扎右肝蒂后见缺血线明显,依缺血线画切肝线,以15+5min模式间歇性阻断肝门,原位离断肝实质,进入肝实质后以肝中静脉为导向离断肝实质直至下腔静脉前壁,切割闭合器离断右肝蒂,结扎切断从右肝进入下腔静脉的肝短静脉,切割闭合器离断右肝静脉,离断右肝周围韧带,至此右半肝已完整切除。取除标本,肝断面置橡胶引流管,关闭切口,术毕。术中发现该病例比未经靶向免疫治疗的病例更容易渗血,但手术顺利,术后病人恢复良好。

f9aca9c344c7450a92e24c7a410a7d1f.jpg   

入院时CT

add68c8af7a4483b91a16add39e28962.jpg   

靶向免疫治疗3个疗程后CT

71435272e89b47ad827d11eddfc4334e.jpg   

术后一周CT

bcf67834a9334b9c824e467abac359c3.jpg   

切除右半肝整体观

a716e06b8bf14937989a7928d1e2b847.jpg   

肝内肿瘤切开观

83b68fec5a164c28853878a8eac556e8.jpg   

切除右肝断面观