分享图

巨大胆管细胞癌转化治疗成功并手术切除1例

来源: 发布时间:2026-03-27 16:54:21 浏览次数: 【字体:

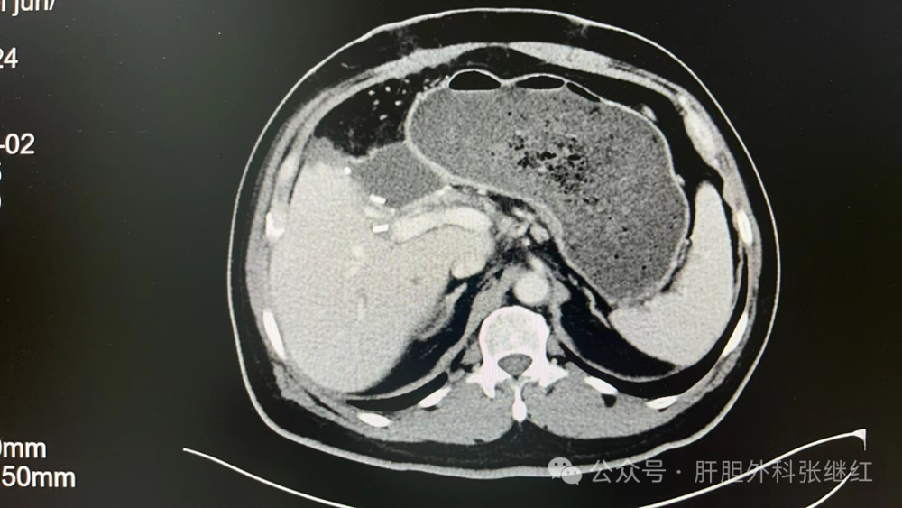
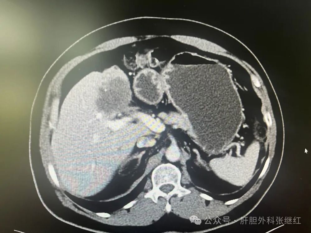
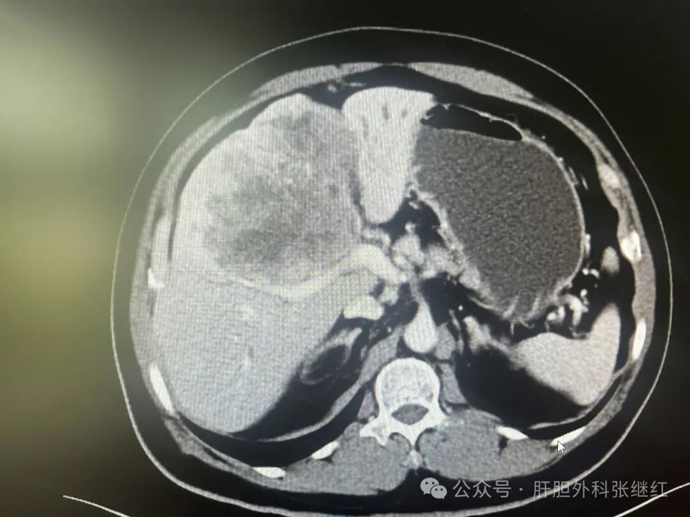
    该患者是佛山复星禅诚医院肝胆胰外科病例,张继红医生有幸参加了术前多学科会诊和手术。1年前,一男性56岁病人,经CT、MR等影像学检查和病理活检确诊为胆管细胞癌,瘤体巨大,长径超过10厘米,且伴门静脉左支癌栓形成和多发腹腔淋巴结转移,经多学科会诊后决定应用吉西他滨和奥沙利铂化疗联合PD-L1单抗(度伐利尤单抗)免疫治疗进行转化治疗后再手术切除。经上述化疗联合免疫治疗五个疗程(每次均为单次给药,间隔时间21天)治疗后肿瘤明显缩小,直径约5厘米,淋巴结病灶也有所减少或缩小,达到了影像学部分缓解和手术切除的标准,经多学科会诊后决定行扩大左半肝切除及区域淋巴结清扫术,术后再行辅助治疗。本为腹腔镜手术,术中见左肝肿瘤萎缩明显,肿瘤压迫右侧肝蒂,肝门部及肝总动脉周围未见明显肿大淋巴结,肝门部粘连严重,仅清扫12a、12b、7-9组淋巴结所在区域脂肪淋巴组织,解剖离断左肝动脉、门静脉左支及左肝管,发现肿瘤基本位于缺血范围内,超声引导下在缺血线和S5段肿瘤外侧画切肝线,拟切除包括胆囊的S5段和左半肝,15+5min模式间歇性阻断肝门,沿预切线离断肝实质,达右肝蒂时发现肿瘤紧贴右肝蒂,为避免右肝蒂损伤,中转开腹完成整块切除包括胆囊的S5段及左半肝。手术后病理证实肿瘤100%坏死,清扫淋巴结亦未发现肿瘤细胞,达到病理学完全缓解(pCR)。术后早期肝断面少许积液,经引流后积液消失。目前病人状态良好,已无瘤生存半年余。

e5cf6f67960b4c8e9b46bc2ea23b3d9a.jpg 

转化治疗前CT

3c1aaa1f38dc4e9d8c8137c4a424212b.jpg  转化治疗后CT

45703dca33d74568b7f2ab02bd8694b0.jpg  手术前三维重建

3a80572f59554b08b595c7e926806cf3.jpg  手术后病理

bb962cbfcd6c48f3af79f9a3a1263278.png   

术后1月CT肝段面少许包裹积液

9cbe4b1ceeea47a2a70b0841fd8ec653.png  术后CT见包裹性积液消失

此例胆管细胞癌转化治疗后达到影像学部分缓解(PR)的标准,而病理证实达到了病理学完全缓解(pCR),说明该例胆管细胞癌转化治疗获得巨大成功。结合文献报道和最新指南,可以得出结论:化疗联合PD-L1单抗免疫治疗对部分中晚期胆管细胞癌患者确能转化成功并手术切除,颠覆了很多医生和病人的传统认知。化疗联合免疫治疗加手术切除治疗胆管细胞癌是划时代的进步。随着免疫研究的突破性进展和新型免疫药物的问世,以手术治疗为主的胆管细胞癌治疗还将取得更大突破。

因此,张继红医生建议:有条件接受治疗的胆管细胞癌患者不要轻言放弃,应配合医生应用循证医学证据确定最佳治疗方案,有希望达到较好的治疗效果。