多发、巨大肝癌新辅助治疗后前入路右半肝切除1例
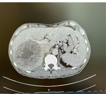
该病例是张继红医生在佛山复星禅诚医院肝胆胰外科亲自收治和主刀的手术病例。男性50岁病人,因消瘦、纳差2月入院。病人既往有乙肝病史多年。入院后经B超、CT检查诊断为肝细胞癌,多发性,有两个瘤体巨大,长径分别为11.0cm和8.0cm,周围多子灶。


新辅助治疗前CT
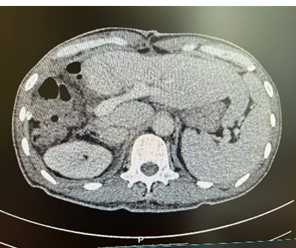
由于病人一般情况较好,肝功能良好(Child-pugh A级),经多学科会诊临床确认肿瘤为IIb期肝细胞癌,属于可切除性肝癌,但存在高危复发因素,建议先行新辅助治疗后手术切除。经两次肝动脉关注化疗(HAIC)(奥沙利铂+5-Fu+亚叶酸钙方案)和两个周期的靶向免疫治疗(仑伐替尼+帕博利珠单抗方案),第二次介入造影是肿瘤血供不明显,第二次介入治疗4周后复查CT提示肿瘤缩小不明显但坏死征象明显,经MRI证实仍有少许血供,于是经多学科会诊后决定行前入路右半肝切除术。


新辅助(两次HAIC和两个周期靶免治疗)后CT


新辅助(两次HAIC和两个周期靶免治疗)后MR
术前三维可视化分析
经术前三维成像评估右半肝切除后残肝体积为标准肝体积的50%,但吲哚箐绿(ICG)15分钟滞留率(ICG-R15)达25%,暂停手术,于是加强营养支持治疗,一周后复查ICG15分钟滞留率为14%,最后经肝胆胰外科专家组讨论不符合腹腔镜肝切除要求,决定行前入路右半肝切除术。右上腹斜切口进腹,探查见肝脏呈轻度肝硬化,两个肿瘤直径接近10.0cm的巨大肿瘤占据半肝,一个于包膜外可见,一个位于肝实质内,周围数个微小结节,未见肝内转移灶和腹腔转移灶,为避免术中不适当挤压引起肿瘤经血管转移和肿瘤破裂,先切断肝圆韧带和肝镰状韧带,解剖第二肝门,显露肝右和肝中静脉窝,然后切除胆囊,解剖第一肝门,鞘外分离右肝蒂,预阻断后见右肝缺血明显,除一个微小结节略偏向S4段外,肿瘤全部位于右肝缺血线内,于缺血性和S4段结节稍左侧约1.0cm画切肝线,术中超声证实肝中静脉位于切线下方、全部肿瘤位于切线右侧,结扎右肝蒂,以15+5min模式间歇性阻断肝门,原位离断左右肝之间肝实质,结扎切断肝断面血管和胆管,到达右肝蒂时确认右肝蒂后右切割闭合器离断右肝蒂,继续沿中肝静脉右侧离断肝实质,直至下腔静脉前壁,至此完全离断左右半肝之间的肝实质,然后于第三肝门显露、结扎、离断右侧肝短静脉,最后显露右肝静脉,切割闭合器离断右肝静脉,于Laennec膜外钝性分离肝裸区,离断右三角韧带和右冠状韧带,至此已原位肝切除术切除包括所有肝肿瘤的右半肝,移除切除物。肝癌切除术后余肝血运及回流良好,肝断面彻底止血后置橡胶引流管,关闭切口,术毕。


肝切除物和胆囊

右半肝切除后术中照片 右半肝切除术后2天CT
术后恢复良好。由于肿瘤巨大,为复发高危因素,除继续抗乙肝病毒治疗外,后续计划进行HIAC和靶向免疫治疗预防复发。张继红医生提示:肝癌能否切除需要结合肝癌诊疗指南具体问题具体分析,不只在于肿瘤大小和多少,主要取决于肿瘤所处分期和技术上是否可切除,不要因为惧怕肿瘤巨大和多个而使病人失去手术切除肝癌的机会。
该例多发巨大肝癌手术切除至少有如下几点启示:
1、不能因为肿瘤多发和巨大而放弃手术切除的机会
该例肝癌虽然肿瘤巨大、多发,除一个小病灶偏向S4段其余均位于右半肝,未侵犯门静脉及中肝静脉,与重要管道关系清楚,但属于高危复发肝癌,需行新辅助治疗后手术切除,符合《原发性肝癌诊疗指南(2024版)》手术适应证。
2、三维可视化分析对精准手术切除具有极高的临床指导价值
三维成像清楚显示多个肿瘤病灶均位于右半肝,其中2个瘤体巨大,但包膜完整,切除右半肝后剩余肝体积足够,术后证实切缘干净,肝功能恢复良好。
3、介入和靶向免疫治疗后停药时间需结合患者实际
本例靶向免疫治疗和HIAC停药4周时检查ICG-R15为25%,不符合半肝切除标准,继续加强营养支持治疗一周后再测ICG-R15为14%,此时进行右半肝切除达到肝功能Child-pugh A级、剩余肝体积50%以上、ICG-R15<15%,预测肝功能代偿良好,术后证实肝脏代偿功能恢复正常,提示停药时间和术前营养支持极为重要。
4、原位肝切除技术和膜的理论指导下的无挤压操作在无瘤技术中发挥重要作用
术后采用前入路右半肝切除术离断肝实质,离断肝周韧带时应用Laennec膜的解剖理论简化了肝脏游离过程,整个手术过程均在不挪动不挤压肝脏的情况下切除包括两个巨大肝癌的右半肝,是无瘤技术的具体体现。